英文名称:Anti-phospho-Bcl 10 (Ser218)
中文名称:磷酸化Bcl-10抗体
抗体来源:兔子
克隆类型:多克隆
交叉反应:人、小鼠、大鼠
产品应用:WB=1:500-2000 ELISA=1:500-1000 IHC-P=1:100-500 IHC-F=1:100-500 IF=1:100-500(石蜡切片需做抗原修复)
分 子 量:26kDa
细胞定位:细胞浆 细胞膜
状态:冻干或液体
浓度:1mg/ml
来源于:KLH conjugated Synthesised phosphopeptide derived from rat Bcl10 around the phosphorylation site of Ser218:GN(p-S)SE
亚型:IgG
纯化方法:affinity purified by Protein A
储存液:0.01M TBS(pH7.4) with 1% BSA, 0.03% Proclin300 and 50% Glycerol.
别 名:B cell lymphoma/leukemia10; AI132454; B cell CLL/lymphoma 10; B-cell leukemia/lymphoma 10; Bcl 10; Bcl-10; Bcl10; c E10; c-E10; C81403; CARD containing apoptotic signaling protein; CARD containing molecule enhancing NF kappa B; CARD containing molecule enhancing NF kB; CARD containing molecule enhancing NFkB; CARD containing proapoptotic protein; CARD like apoptotic protein; CARMEN; cE10 antibody; CED 3/ICH 1 prodomain homologous E10 like regulator; CED3/ICH1 prodomain homologous E10 like regulator; Cellular E10; Cellular homolog of vCARMEN; CIPER; CLAP; hCLAP; Mammalian CARD containing adapter molecule E10; mE 10; mE10; R-RCD1; BCL10_RAT .
保存条件:在-20°C下保存一年。避免反复冻融。冻干抗体在室温下至少稳定一个月,并在-20°C下保持一年以上。当在无菌pH7.4 0.01M PBS或抗体稀释剂中重组时,抗体在2-4°C下至少稳定两周。
产品介绍:
在许多人和小鼠组织中表达。它包含一个卡(caspase招募域)域,参与caspase9的激活以诱导凋亡。是马疱疹病毒2e-10的细胞同系物。已知可诱导JNK、p38和NF-kappab的活化。在许多B细胞和T细胞淋巴瘤中观察到bcl10突变,表明其在人类癌症发病机制中的作用。
功能:
通过NIK和IKK促进凋亡、半胱天冬酶-9成熟和NF-kappa-b活化。可能是上游tnfr1-tradd-rip复合体和下游nik-ikk-ikap复合体之间的一种结合蛋白。是麦芽1的基质。
子单元:
发现于膜筏复合体中,至少由bcl10、card11、dpp4和ikbkb组成。通过卡片互动的自我联想,与麦芽糖1形成紧密的复合体。与其他卡片蛋白如card9、card10、card11和card14相互作用。将caspase-9与其C端域结合。与trav2和birc2/c-iap2交互。与peli2和socs3相互作用;这些相互作用可能是互斥的(通过相似性)。
亚细胞位置:
细胞质,核周区。膜筏。注=似乎具有核周、致密和丝状表达模式。也发现于几种肿瘤细胞的细胞核中。与DPP4在膜筏中共存。
组织特异性:
无处不在的。
翻译后修改:
磷酸化。磷酸化导致traffi2的离解并结合到birc2/c-iap2。由ikbkb/ikkb磷酸化。
疾病:
注:涉及bcl10的染色体畸变在低度粘膜相关淋巴组织(malt淋巴瘤)中复发。易位t(1;14)(p22;q32)。虽然bcl10/igh易位使bcl10的编码区保持完整,但频繁的bcl10突变可归因于ig体细胞过度突变机制,导致核苷酸转换。
注=bcl10缺陷与各种类型的癌症有关。
间皮瘤,恶性(间皮瘤)【mim:156240】:胸部浆膜衬里的侵袭性肿瘤。它表现为广泛的细胞片,一些区域含有梭形、肉瘤样细胞,其他区域显示腺瘤样。胸膜间皮瘤与接触石棉有关。注=此条目中所代表的基因可能与疾病发病机制有关。
相似性:
包含1个CARD域。
重要提示:
本产品仅用于研究用途,不用于人类、治疗或诊断应用
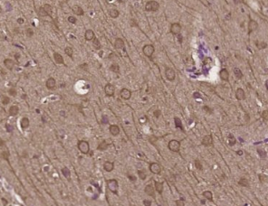
多聚甲醛固定,石蜡包埋(大鼠脑);用柠檬酸钠缓冲液(pH6.0)煮沸15min;用3%过氧化氢阻断内源过氧化物酶20分钟;阻断缓冲液(正常山羊血清)37℃30min;用磷酸化Bcl 10(Se21)进行抗体孵育8))多克隆抗体,未结合,1:400,4°C下过夜,然后根据SP试剂盒(兔子)说明和DAB染色进行操作。
公司优势:
1)质量:我司提供的的试剂为世界。
2)价格:价格实惠,量大从优。
4)服务:提供完整的售前、售后和售中服务。售后到底。
如需订购磷酸化Bcl-10抗体,请联系我们。
| Anti-N-AChR α7 (Nicotinic-Acetylcholine receptor α7) 烟碱型乙酰胆碱受体α7抗体 |
| Anti-Nanog 胚胎干细胞关键蛋白抗体 |
| anti-Natrexone 抗纳曲酮抗体IgG |
| Anti-NAP1 (nucleosome assembly protein 1) 核小体组装蛋白1抗体 |
| Anti-N-cadherin N-钙粘附分子抗体 |