英文名称:Anti-phospho-beta catenin (Tyr142)
中文名称:磷酸化β连环素蛋白抗体(Catenin-β)
抗体来源:兔子
克隆类型:多克隆
交叉反应:人、小鼠、大鼠、鸡
产品应用:ELISA=1:500-1000 IHC-P=1:100-500 IHC-F=1:100-500 Flow-Cyt=1μg/Test ICC=1:100-500 IF=1:100-500(石蜡切片需做抗原修复)
分 子 量:86kDa
细胞定位:细胞核 细胞浆 细胞膜 细胞外基质
状态:冻干或液体
浓度:1mg/ml
来源于:KLH conjugated Synthesised phosphopeptide derived from human Beta catenin around the phosphorylation site of Tyr142:IN(p-Y)QD
亚型:IgG
纯化方法:affinity purified by Protein A
储存液:0.01M TBS(pH7.4) with 1% BSA, 0.03% Proclin300 and 50% Glycerol.
别 名:beta Catenin (phospho Y142); Beta catenin(phospho Tyr142); p-beta Catenin (Y142); p-Beta catenin(Tyr142); beta-catenin; beta catenin; CTNNB1; CHBCAT; CTNNB1; CTNNB; PRO2286; Cadherin associated protein; Catenin (cadherin associated protein), beta 1, 88kDa; Catenin beta 1; Catenin beta-1; CATNB; CTNB1_HUMAN; CTNNB; CTNNB1; DKFZp686D02253; FLJ25606; FLJ37923; b-catenin; OTTHUMP00000162082; OTTHUMP00000165222; OTTHUMP00000165223; OTTHUMP00000209288; OTTHUMP00000209289; Catenin-β; Catenin β.
保存条件:在-20°C下保存一年。避免反复冻融。冻干抗体在室温下至少稳定一个月,并在-20°C下保持一年以上。当在无菌pH7.4 0.01M PBS或抗体稀释剂中重组时,抗体在2-4°C下至少稳定两周。
产品介绍:
这个基因编码的蛋白质是构成粘附连接(ajs)的蛋白质复合体的一部分。ajs是通过调节细胞生长和细胞间粘附来创造和维持上皮细胞层的必要条件。编码蛋白也锚定肌动蛋白细胞骨架,并可能负责传递接触抑制信号,一旦上皮层完成,导致细胞停止分裂。后,这种蛋白与APC基因的产物结合,APC基因在结肠腺瘤息肉病中突变。该基因突变是结直肠癌(CRC)、毛瘤(PTR)、髓母细胞瘤(MDB)和卵巢癌的病因。该基因有三个编码相同蛋白质的转录变体。
功能:
典型Wnt信号通路的关键下游成分。在没有Wnt的情况下,与axin1、axin2、apc、csnk1a1和gsk3b形成复合物,促进N末端ser和thr残基的磷酸化,并通过btrc泛素化ctnnb1及其随后被蛋白酶体降解。在Wnt配体存在下,CTnnb1不泛素化并在细胞核内聚集,在那里作为TCF/LEF家族转录因子的共激活因子,从而激活Wnt反应基因。参与细胞粘附的调节。充当中心体内聚的负调节器。参与胰岛素内化的cdk2/ptpn6/ctnnb1/ceacam1途径。阻断恶性肾脏和肠上皮细胞的失活,通过下调DAPK2促进其锚定独立生长。通过抑制ranbp2介导的pml的苏门化,破坏pml功能和pml-nb的形成。
重要提示:
本产品仅用于研究用途,不用于人类、治疗或诊断应用
细胞粘附蛋白(Call Adhesion Protein)
β连环素蛋白β-catenin是一种多功能的蛋白质,能链接E-N-,钙粘附分子具有参与细胞粘附和介导信号转导的双重功能,并与肿瘤的发生发展及浸润密切相关。
在正常个体中,β-catenin和钙黏蛋白形成复合体,介导同型细胞的粘附,维持细胞的稳定;同时,β-catenin作为Wnt/β-catenin信号通路的关键成员在介导信号转导过程中调控细胞的增殖和凋亡。
在恶性肿瘤中,β-catenin的表达呈现明显的异质性,促使细胞异常增殖,还可使细胞之间的黏附性减弱,侵袭性增强。
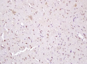
组织/细胞:大鼠脑组织;4%多聚甲醛固定石蜡包埋;
抗原提取:柠檬酸缓冲液(0.01M,pH 6),15min煮沸,用3%过氧化氢阻断内源性过氧化物酶30min;37℃下阻断缓冲液(正常山羊血清)20 min;
孵育:抗磷酸β-连环蛋白(Tyr142)多克隆抗体,未结合1:200,在4°C下过夜,然后接合到二级抗体和DAB染色。
公司优势:
1)质量:我司提供的的试剂为世界。
2)价格:价格实惠,量大从优。
4)服务:提供完整的售前、售后和售中服务。售后到底。
如需订购磷酸化β连环素蛋白抗体(Catenin-β),请联系我们。
| Anti-MyD88 (myeloid differential protein-88) 髓样分化蛋白抗体 |
| Anti-Myelin P0 protein( peripheral myelin prothein Zero;MPZ;MPP) 外周髓磷脂P0蛋白/P0蛋白抗体 |
| Anti-Myosin (Smooth Muscle) 鼠抗人心肌肌凝蛋白(平滑肌) 单抗 |
| Anti-N-AChR α4 (Nicotinic-Acetylcholine receptor α4) 烟碱型乙酰胆碱受体α4抗体 |