您的位置: 网站首页 >> 产品中心 >> >> 抗体 > 抑凋亡基因bag1抗体
产品名称:

抑凋亡基因bag1抗体

产品型号: 产品时间: 2023-03-08
抑凋亡基因bag1抗体是一种多功能蛋白,起到抑凋亡的作用,与Bcl 2、Raf 1等联合,一同调节一些生长因子及其受体酪氨酸激酶,协同热休克蛋白70发挥转录调节的分子作用。

产品概述

英文名称:Anti-Bag1​

中文名称:抑凋亡基因bag1抗体

抗体来源:兔子

克隆类型:多克隆

交叉反应:人、小鼠、大鼠、狗、马​

产品应用:WB=1:500-2000 ELISA=1:500-1000 IHC-P=1:100-500 IHC-F=1:100-500 IF=1:100-500(石蜡切片需做抗原修复)

分  子 量:39kDa

​细胞定位:细胞核 细胞浆 细胞膜

状态:冻干或液体

浓度:1mg/ml

来源于:KLH conjugated synthetic peptide derived from human Bag1/RAP46:201-274/274

亚型:IgG

纯化方法:affinity purified by Protein A

储存液:0.01M TBS(pH7.4) with 1% BSA, 0.03% Proclin300 and 50% Glycerol.

别    名:Bag 1; Bag-1; BAG family molecular chaperone regulator 1; BCL 2 Associated Athanogene 1; BCL 2 associated athanogene; BCL 2 binding athanogene 1; BCL2 associated athanogene 1; BCL2 associated athanogene; Glucocorticoid receptor-associated protein RAP46; HAP1 antibody Haptoglobin; RAP 46; RAP46.

保存条件:在-20°C下保存一年。避免反复冻融。冻干抗体在室温下至少稳定一个月,并在-20°C下保持一年以上。当在无菌pH7.4 0.01M PBS或抗体稀释剂中重组时,抗体在2-4°C下至少稳定两周。

 

​产品介绍:

癌基因bcl2是一种膜蛋白,在导致细胞凋亡或程序性细胞死亡的途径中阻断一个步骤。该基因编码的蛋白与bcl2结合,被称为bcl2相关的致病基因。它增强bcl2的抗凋亡作用,并代表生长因子受体与抗凋亡机制之间的联系。通过使用非AUG(CUG)起始密码子和三个可选的下游AUG起始密码子,该mRNA编码了多种蛋白质亚型。在X染色体上定义了一个相关的假基因。

通过促进底物释放抑制hsp70/hsc70的伴侣活性。抑制ppp1r15a的促凋亡功能,具有抗凋亡活性。显著增强BCL2在各种刺激下的抗细胞死亡功能。

 

功能:

通过促进底物释放抑制hsp70/hsc70的伴侣活性。抑制ppp1r15a的促凋亡功能,具有抗凋亡活性。显著增强BCL2在各种刺激下的抗细胞死亡功能。

 

子单元:

包含1个包域。包含1个泛素样结构域。

 

亚细胞位置:

细胞质。原子核。亚型2定位于细胞质并在热休克时穿梭于细胞核;细胞核。细胞质。亚型1主要定位于细胞核和细胞质。原子核。亚型4主要定位于细胞质。它表达的细胞背景可以影响它是主要存在于细胞质中还是也存在于细胞核中。在bcl2的存在下,定位于细胞内膜(看起来是核膜和核周膜)以及暗示线粒体的点状细胞溶质结构。

 

组织特异性:

亚型4是表达丰富的亚型。除肝脏、结肠、乳腺和子宫肌层外,在大多数组织中广泛表达。亚型1在卵巢和睾丸中表达。亚型4在几种类型的肿瘤细胞株中表达,在白血病和淋巴瘤细胞株中持续高水平表达。亚型1在前列腺、乳腺和白血病细胞系中表达。亚型3是肿瘤细胞系中含量少的亚型。

 

重要提示:

本产品仅用于研究用途,不用于人类、治疗或诊断应用

​Bag1蛋白是一种多功能蛋白,起到抑凋亡的作用,与Bcl 2、Raf 1等联合,一同调节一些生长因子及其受体酪氨酸激酶,协同热休克蛋白70发挥转录调节的分子作用。

​​​​​​

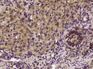
多聚甲醛固定,石蜡包埋(大鼠卵巢组织);用柠檬酸钠缓冲液(pH6.0)煮沸15min后获得抗原;用3%过氧化氢阻断内源性过氧化物酶20分钟;阻断缓冲液(正常山羊血清)37℃30min;用(BAG1)聚氯乙烯进行抗体孵育未结合的Al抗体在1:400下在4°C下过夜,然后根据SP试剂盒(兔子)说明和DAB染色进行操作。

公司优势:
1)质量:我司提供的的试剂为世界。
2)价格:价格实惠,量大从优。
4)服务:提供完整的售前、售后和售中服务。售后到底。

如需订购抑凋亡基因bag1抗体​​,请联系我们。

Anti-Neurofascin-155  神经束蛋白-155
Anti-NF-H(Neurofilament triplet H)  高分子量神经丝蛋白抗体
Anti-NFKBp65(p65 NF-kappa B;p65NFKB)  细胞核因子/k基因结合核因子抗体
Anti-NF-L(Neurofilament triplet L)  低分子量神经丝蛋白抗体

留言框

  • 产品:

  • 您的单位:

  • 您的姓名:

  • 联系电话:

  • 常用邮箱:

  • 省份:

  • 详细地址:

  • 补充说明:

  • 验证码:

    请输入计算结果(填写阿拉伯数字),如:三加四=7
分享到:
版权所有©2019 上海晅科生物科技有限公司 备案号:京ICP证000000号
  • 扫一扫,关注我们