您的位置: 网站首页 >> 产品中心 >> >> 抗体 > 锌指蛋白basonuclin抗体
产品名称:

锌指蛋白basonuclin抗体

产品型号: 产品时间: 2023-03-08
锌指蛋白basonuclin抗体是一种假定的RDNA转录因子,具有高度限制的组织分布。basonuclin在表皮基底层、毛囊外鞘和睾丸和卵巢生殖细胞中大量表达。尽管在整个细胞周期中,包括有丝分裂过程中,basonuchlin与染色质相关,但当细胞发生有丝分裂后,它就会消失。在表皮,主要局限于细胞质的圆锥突在角质形成细胞生长的不同阶段转移到基底细胞核。

产品概述

英文名称:Anti-BNC1​

中文名称:锌指蛋白basonuclin抗体

抗体来源:兔子

克隆类型:多克隆

交叉反应:人、小鼠、大鼠​

产品应用:IHC-P=1:100-500(石蜡切片需做抗原修复)

分  子 量:111kDa

​细胞定位:细胞核 细胞浆

状态:冻干或液体

浓度:1mg/ml

来源于:KLH conjugated synthetic peptide derived from human BNC1:211-310/994

亚型:IgG

纯化方法:affinity purified by Protein A

储存液:0.01M TBS(pH7.4) with 1% BSA, 0.03% Proclin300 and 50% Glycerol.

别    名:basonuclin; basonuclin 1; basonuclin1; basonuclin-1; BNC; BNC1_HUMAN; BSN1; HsT19447; zinc finger protein basonuclin; Zinc finger protein basonuclin-1.

保存条件:在-20°C下保存一年。避免反复冻融。冻干抗体在室温下至少稳定一个月,并在-20°C下保持一年以上。当在无菌pH7.4 0.01M PBS或抗体稀释剂中重组时,抗体在2-4°C下至少稳定两周。

 

​产品介绍:

锌指蛋白basonuchlin是一种假定的RDNA转录因子,具有高度限制的组织分布。basonuclin在表皮基底层、毛囊外鞘和睾丸和卵巢生殖细胞中大量表达。尽管在整个细胞周期中,包括有丝分裂过程中,basonuchlin与染色质相关,但当细胞发生有丝分裂后,它就会消失。在表皮,主要局限于细胞质的圆锥突在角质形成细胞生长的不同阶段转移到基底细胞核。Basonuclin可能通过提高RDNA启动子的转录水平和通过其锌指域抑制RNA聚合酶I转录来增强rRNA合成。因此,basonuclin可能是一种用于RDNA转录的细胞类型特异性转录因子。

 

功能:

可能是鳞状上皮和组成角质形成细胞在终末分化之前或初阶段特异性的转录因子。可能在精子和卵母细胞的分化中起作用。

 

亚细胞位置:

原子核。细胞质。在精液细胞的精子发生后期,转移到鞭毛的中间。

 

组织特异性:

在表皮、睾丸和包皮中表达,在胸腺、脾脏、乳腺、胎盘、大脑和心脏中较低程度表达。

 

翻译后修改:

Ser-537和Ser-541的磷酸化导致细胞质定位。

 

相似性:

包含6个C2H2型锌指。

 

重要提示:

本产品仅用于研究用途,不用于人类、治疗或诊断应用

​​

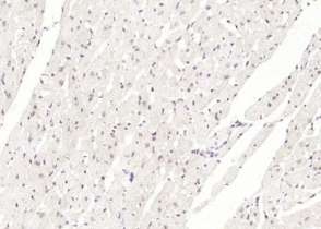
多聚甲醛固定,石蜡包埋(小鼠心脏);经柠檬酸钠缓冲液(pH6.0)煮沸15min后获得抗原;用3%过氧化氢阻断内源性过氧化物酶20分钟;阻断缓冲液(正常山羊血清)37℃30min;用(BNC1)多克隆抗体进行抗体孵育泰博体,未结合,1:400,4°C下过夜,然后根据SP试剂盒(兔子)说明和DAB染色进行操作。

公司优势:
1)质量:我司提供的的试剂为世界。
2)价格:价格实惠,量大从优。
4)服务:提供完整的售前、售后和售中服务。售后到底。

如需订购锌指蛋白basonuclin抗体​​​​​​​,请联系我们。

Anti-Maspin (mammary serine protease inhibitor)  抑癌基因抗体
Anti-Matriptase  蛋白裂解酶(一种新的癌基因)抗体
Anti-MBP (Myelin Basic Protein, MBP)  髓鞘碱性蛋白抗体
Anti-MCP-1 (monocyte chemotactic protein1)  巨噬细胞趋化蛋白-1抗体

留言框

  • 产品:

  • 您的单位:

  • 您的姓名:

  • 联系电话:

  • 常用邮箱:

  • 省份:

  • 详细地址:

  • 补充说明:

  • 验证码:

    请输入计算结果(填写阿拉伯数字),如:三加四=7
分享到:
版权所有©2019 上海晅科生物科技有限公司 备案号:京ICP证000000号
  • 扫一扫,关注我们