您的位置: 网站首页 >> 产品中心 >> >> 抗体 > Bcl-2单克隆抗体
产品名称:

Bcl-2单克隆抗体

产品型号: 产品时间: 2023-03-08
Bcl-2单克隆抗体应用:Human, Mouse, Rat, Dog, Pig, Cow, Horse, Rabbit, Sheep, Guinea Pig

产品概述

英文名称:Anti-Bcl-2​

中文名称:Bcl-2单克隆抗体

抗体来源:小鼠

克隆类型:单克隆

交叉反应:人、小鼠、大鼠、狗、猪、牛、马、兔、羊、豚鼠​

产品应用:WB=1:500-2000 ELISA=1:500-1000 IHC-P=1:100-500 IHC-F=1:100-500(石蜡切片需做抗原修复)

分  子 量:26kDa

​细胞定位:细胞核 细胞浆 细胞膜 线粒体

状态:冻干或液体

浓度:1mg/ml

来源于:KLH conjugated synthetic peptide derived from human Bcl-2:51-150/239

亚型:IgG

纯化方法:affinity purified by Protein A

储存液:0.01M TBS(pH7.4) with 1% BSA, 0.03% Proclin300 and 50% Glycerol.

别    名:Apoptosis regulator Bcl 2; Apoptosis regulator Bcl2; AW986256; B cell CLL/lymphoma 2; B cell leukemia/lymphoma 2; B cell lymphoma 2; Bcl 2; Bcl-2; Bcl2; BCL2 protein; C430015F12Rik; D630044D05Rik; D830018M01Rik; Leukemia/lymphoma, B-cell, 2; Oncogene B-cell leukemia 2; BCL2_HUMAN.

保存条件:在-20°C下保存一年。避免反复冻融。冻干抗体在室温下至少稳定一个月,并在-20°C下保持一年以上。当在无菌pH7.4 0.01M PBS或抗体稀释剂中重组时,抗体在2-4°C下至少稳定两周。

 

​产品介绍:

在T(14;18)型滤泡性B细胞淋巴瘤(1,2)的染色体断点处分离出bcl-2基因,bcl-2阻断了多种刺激后的细胞死亡,并在生长因子退出(3,5)后对某些造血细胞系起到保死作用,bcl-2似乎起到了一定的作用。在几个亚细胞位置上的作用还缺乏任何已知的基序,这将使人们了解其作用机制(6,7)。近发现的一种蛋白质,命名为bax p21(即bcl相关的x蛋白),与bcl-2具有广泛的氨基酸同源性,并且两者均聚并形成异二聚体。带有bcl-2(8)的MER。bax的过度表达加速了IL-3依赖细胞系中细胞因子剥夺诱导的凋亡性死亡,bax也对抗bcl-2(8)的死亡抑制活性。

 

功能:

抑制包括因子依赖性淋巴造血细胞和神经细胞在内的多种细胞系统的凋亡。通过控制线粒体膜通透性调节细胞死亡。似乎在caspase的反馈循环系统中起作用。通过阻止细胞色素C从线粒体释放和/或结合凋亡激活因子(APAF-1)抑制caspase活性。

 

子单元:

与bax、bad、bak和bcl-x(l)形成同二聚体和异二聚体。与bax的异二聚化需要完整的bh1和bh2基序,并且对于抗凋亡活性是必要的。与EI24相互作用(通过相似性)。还与APAF1、BBC3、BCL2L1、BNIPL、MRPL41和TP53BP2相互作用。与FKBP8的结合似乎以bcl2为靶点,并可能干扰bcl2与其靶点的结合。以一种依赖于ATP的方式与BAG1相互作用。与raf1(ser-338和ser-339磷酸化形式)相互作用。(通过bh4结构域)与egln3相互作用;这种相互作用阻止了bax-bcl2复合物的形成,并抑制了bcl2的抗凋亡活性。与g0s2相互作用;这种相互作用也阻止了抗凋亡bax-bcl2复合物的形成。

 

亚细胞位置:

线粒体外膜;单通道膜蛋白。核膜;单通道膜蛋白。内质网膜;单通道膜蛋白。

 

组织特异性:

在各种组织中表达。

 

翻译后修改:

Ser-70上的磷酸化/去磷酸化调节抗凋亡活性。生长因子刺激的pkc对ser-70磷酸化是抗凋亡活性所必需的,并且发生在细胞周期的g2/m阶段。在没有生长因子的情况下,bcl2似乎被其他蛋白激酶如erks和应激激活激酶磷酸化。在THR-69、SER-70和SER-87被MAPK8/JNK1磷酸化,WICH刺激饥饿诱导的自噬。蛋白磷酸酶2a(pp2a)脱磷。

细胞凋亡过程中被半胱天冬酶蛋白分解。分裂蛋白缺乏bh4基序,具有促凋亡活性,使细胞色素c释放到胞质溶胶中,进一步促进半胱天冬酶活性。

park2单泛素化,增加稳定性。

 

疾病:

注=慢性淋巴白血病中发现了涉及bcl2的染色体畸变。T(14;18)(q32;q21)与免疫球蛋白基因区易位。在携带染色体易位的非霍奇金淋巴瘤中发现的bcl2突变可归因于导致核苷酸转换的免疫球蛋白体细胞过度突变机制。

 

相似性:

属于BCL-2家族。

 

重要提示:

本产品仅用于研究用途,不用于人类、治疗或诊断应用

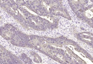
多聚甲醛固定,石蜡包埋(人结肠癌);用柠檬酸钠缓冲液(pH6.0)煮沸15min后获得抗原;用3%过氧化氢阻断内源性过氧化物酶20分钟;阻断缓冲液(正常山羊血清)37℃30min;用(bcl-2)Mo进行抗体孵育。未结合的单克隆抗体在1:200在4°C下过夜,然后根据SP试剂盒(小鼠)说明和DAB染色进行操作。

公司优势:
1)质量:我司提供的的试剂为世界。
2)价格:价格实惠,量大从优。
4)服务:提供完整的售前、售后和售中服务。售后到底。

如需订购Bcl-2单克隆抗体​,请联系我们。

Anti-Cyclin H  周期素H抗体
Anti-Cygb (cytoglobin)  细胞球蛋白抗体
Anti-CYP450(Cytochrome P450 monooxygenase)  细胞色素P450单氧化酶抗体
anti-Cyr61(cysteine rich 61)  富半胱氨酸肝素结合蛋白61
anti-CYP19  细胞色素P450 19抗体
Anti-Cytochrome C(Cyt C)  细胞色素 C抗体

留言框

  • 产品:

  • 您的单位:

  • 您的姓名:

  • 联系电话:

  • 常用邮箱:

  • 省份:

  • 详细地址:

  • 补充说明:

  • 验证码:

    请输入计算结果(填写阿拉伯数字),如:三加四=7
分享到:
版权所有©2019 上海晅科生物科技有限公司 备案号:京ICP证000000号
  • 扫一扫,关注我们