您的位置: 网站首页 >> 产品中心 >> >> 抗体 > Bcl-2同源结构域蛋白单克隆抗体
产品名称:

Bcl-2同源结构域蛋白单克隆抗体

产品型号: 产品时间: 2023-03-08
eclin1是*个被鉴定的能介导自噬的哺乳动物基因,也具有肿瘤抑制和抗病毒功能。自噬是一种通过自噬体溶酶体途径降解大量蛋白质的过程,对分化、营养缺乏时的存活和正常的生长控制都很重要,而且常常在肿瘤细胞中有缺陷。Bcl-2同源结构域蛋白单克隆抗体(Beclin 1)用于识别bcl 2结合伙伴,并映射到人类染色体17q21上的肿瘤易感性位点,该位点在人类乳腺癌、卵巢癌和前列腺癌中经常被单等位删除。

产品概述

英文名称:Anti-Beclin 1​

中文名称:Bcl-2同源结构域蛋白单克隆抗体(Beclin 1)

抗体来源:小鼠

克隆类型:单克隆

交叉反应:人、小鼠、大鼠

产品应用:IHC-P=1:100-500 IHC-F=1:100-500 ICC=1:100-500 IF=1:100-500(石蜡切片需做抗原修复)

分  子 量:50kDa

​细胞定位:细胞核 细胞浆

状态:冻干或液体

浓度:1mg/ml

来源于:KLH conjugated synthetic peptide derived from human Beclin 1:

亚型:IgG

纯化方法:affinity purified by Protein A

储存液:0.01M TBS(pH7.4) with 1% BSA, 0.03% Proclin300 and 50% Glycerol.

别    名:Beclin-1; ATG6; beclin1; VPS30; Beclin 1 like protein 1; 4921513J16Rik; 5430417M23Rik; ATG6; BECLIN 1; BECN1; MGC6843; BECN1_HUMAN.

保存条件:在-20°C下保存一年。避免反复冻融。冻干抗体在室温下至少稳定一个月,并在-20°C下保持一年以上。当在无菌pH7.4 0.01M PBS或抗体稀释剂中重组时,抗体在2-4°C下至少稳定两周。

 

​产品介绍:

Beclin1是*个被鉴定的能介导自噬的哺乳动物基因,也具有肿瘤抑制和抗病毒功能。自噬是一种通过自噬体溶酶体途径降解大量蛋白质的过程,对分化、营养缺乏时的存活和正常的生长控制都很重要,而且常常在肿瘤细胞中有缺陷。beclin 1初是在酵母双杂交筛选中分离出来的,用于识别bcl 2结合伙伴,并映射到人类染色体17q21上的肿瘤易感性位点,该位点在人类乳腺癌、卵巢癌和前列腺癌中经常被单等位删除。Beclin 1编码一种进化保守的52kDa螺旋蛋白,在人类肌肉、上皮细胞和神经元中表达。

 

功能:

在自噬中起着中心作用。细胞因子分裂中的不连续步骤所需的。可能在抗病毒宿主防御中起作用。保护免受Sindbis病毒神经毒株的感染。

 

子单元:

与gopc和grid2交互。与AMBRA1交互。与pik3c3和pik3r4以及uvrag和kiaa0226/rubicon或atg14形成复合体。uvrag和atg14通过直接竞争BECN1结合形成相互排斥的复合物。含有atg14的复合物上调自噬,而含有rubicon的复合物下调自噬。与bcl2和bcl2l1相互作用。与vmp1交互。与PIK3CB交互。与DAPK1交互。与人巨细胞病毒/hhv-5蛋白trs1相互作用。

 

亚细胞位置:

高尔基体,跨高尔基网膜;外周膜蛋白。注=与ATG14的相互作用促进易位到自噬体。在小脑浦肯野细胞的树突和细胞体中表达。

 

组织特异性:

无处不在的。

 

翻译后修改:

DAPK1磷酸化THR-119可减少其与bcl2和bcl2l1的相互作用,促进自噬的诱导。

泛素化。由USP10和USP13去泛素,从而稳定含有PIK3C3/VPS34的复合物。

 

相似性:

属于贝格林家族。

 

重要提示:

本产品仅用于研究用途,不用于人类、治疗或诊断应用

​​​​​​​​​​​​

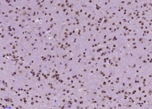
多聚甲醛固定,石蜡包埋(小鼠脑);用柠檬酸钠缓冲液(pH6.0)煮沸15min后获得抗原;用3%过氧化氢阻断内源过氧化物酶20分钟;阻断缓冲液(正常山羊血清)37℃30min;用(BeC林1)单细胞进行抗体孵育L抗体,未结合,1:400,4°C下过夜,然后根据SP试剂盒(小鼠)说明和DAB染色进行操作。

 

公司优势:
1)质量:我司提供的的试剂为世界。
2)价格:价格实惠,量大从优。
4)服务:提供完整的售前、售后和售中服务。售后到底。

如需订购Bcl-2同源结构域蛋白单克隆抗体(Beclin 1)​,请联系我们。

claudin-5  紧密连接蛋白-5抗体
CKIP-1(casein kinase 2 interaction protein 1)  酪蛋白激酶2相互作用蛋白1抗体
anti-Clostridium perfringens type D  兔抗D型产气荚膜梭菌抗体
Anti-C-Mer/MERTK (proto-oncogene tyrosine kinase)  c-mer原癌基因酪氨酸激酶抗体
Anti-C-Met/HGFR(Hepatocyte growth factor receptor)  肝细胞生长因子受体(原癌基因蛋白)抗体

留言框

  • 产品:

  • 您的单位:

  • 您的姓名:

  • 联系电话:

  • 常用邮箱:

  • 省份:

  • 详细地址:

  • 补充说明:

  • 验证码:

    请输入计算结果(填写阿拉伯数字),如:三加四=7
分享到:
版权所有©2019 上海晅科生物科技有限公司 备案号:京ICP证000000号
  • 扫一扫,关注我们