产品名称:HRPEpiC;人视网膜色素上皮细胞
ScienCell:6540
5×10^5个细胞/瓶
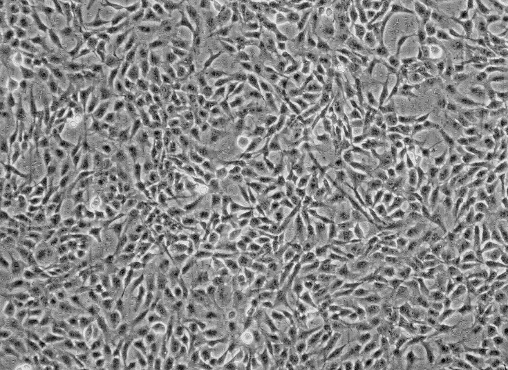
来自ScienCell研究实验室的HRPEpiC是从人视网膜中分离出来的。HRPEpiC在第1代冷冻保存并冷冻递送。每个小瓶含有>5×10^5个细胞,1ml体积。HRPEpiC的特征在于用对细胞角蛋白-18,-19和纤连蛋白特异的抗体的免疫荧光。HRPEpiC对HIV-1,HBV,HCV,支原体,细菌,酵母和真菌均为阴性。在ScienCell研究实验室提供的条件下,HRPEpiC保证进一步扩大10次人口倍增。
该产品仅供研究使用。它未被批准用于人类,动物或体外诊断程序。
经检测无支原体、细菌、酵母和真菌污染
视网膜是衬在眼后段的多层结构。它由光感受器和视网膜色素上皮细胞(RPEpiC)组成。RPEpiC位于神经感觉视网膜和脉络膜之间,形成外部血 - 视网膜屏障,控制视网膜下腔的化学成分[1]。RPEpiC在细胞内具有特异性极化蛋白分布。与通常面向没有基质的顶端腔的其他上皮细胞相反,RPEpiC顶端质膜与细胞外基质直接接触[2]。RPEpiC在调节邻近的感光细胞膜转换,类视黄醇代谢和保护视网膜免受细胞内黑色素的光诱导损伤方面发挥关键作用[3],
| 逆转录病毒包装的NIH3T3细胞 |
| 小鼠成纤维细胞 |
| 小鼠脂肪细胞 |
| 小鼠巨噬细胞 |
| 小鼠精母细胞 |
晅科生物为研究界提供各种高质量的正常人和动物细胞,细胞培养基和试剂,基因分析工具,细胞衍生的分子生物学产品,基于细胞的检测试剂盒和干细胞产品。
客户在细胞培养过程中,有任何技术问题可以联系售后服务
客户应具有一定细胞培养知识与经验,并具备基本实验设备,如细胞培养实验室、无菌操作台、CO2培养箱,倒置显微镜等;还应准备好相应的无菌培养基、血清、双抗、细胞培养瓶、培养板等。
参考:
[2] AD(2001)视网膜色素上皮的极性。交通2:867-872。
[3] (2002)Epithelia-mesenchyme interaction在视网膜色素上皮的转分化中发挥重要作用。银突变体鹌鹑:FGF和相关分子的定位以及眼睛基础形成过程中神经嵴细胞的异常迁移模式。Dev Biol。244:358-71。
晅科生物致力于为国内科研用户提供*质的产品,完善的服务。帮助您实验顺利。视天气状况和运输距离远近,公司与客户协商
1、从正常人、病人、小鼠、大鼠、兔、猪、牛等等组织中对原代细胞进行分离、培养、鉴定:我们将以客户要求为标准,提供多种属如正常人、病人、小鼠、大鼠、兔、猪、牛、其它动物原代细胞的分离、培养、鉴定,并提供相应的文件、资料、数据和检测证书。对于人源性细胞,必要时,在许可的条件下,我们尽可能的满足客户所提供的要求。
2、从建立实验性疾病动物(小鼠、大鼠、兔)模型体内组织中对原代细胞进行分离、培养、鉴定: 我们将以客户要求,建立标准实验性疾病动物模型,或客户提供实验性疾病动物模型,对原代细胞进行分离、培养、鉴定,并提供相应的文件、资料、数据和检测证书。
3、NK、γδT、CD3AK、DC、CIK等特定免疫细胞的分离、诱导、表型鉴定、扩增和定向改造。
公司优势:
1)质量:我司提供的的细胞为世界ATCC和Sciencell
2)价格:价格实惠,量大从优,产品价格随时会变动,实时报价还请来电获取。
4)服务:提供完整的售前、售后和售中服务。售后到底
如需订购HRPEpiC;人视网膜色素上皮细胞,请联系我们。
此外公司还提供:
| 中国仓鼠肺细胞 |
| 中国仓鼠卵巢细胞 |
| 中国仓鼠仓鼠卵巢细胞亚株 |
| 转血小板基因仓鼠卵巢细胞 |
| 转入Tet-off调控,含EGFP基因的CHO细胞 |